Skip to content
South Asia’s first one-stop comprehensive Breast Health Centre
Home
About Us
What To Expect at the Breast Centre
Meet Dr. Raghu Ram
Testimonials
Patient Resources
Educational Videos
Voices of Hope
Pink Connexion
Breast Health Information
Select Publications
News & Events
Foundation
Contact
Home
About Us
What To Expect at the Breast Centre
Meet Dr. Raghu Ram
Testimonials
Patient Resources
Educational Videos
Voices of Hope
Pink Connexion
Breast Health Information
Select Publications
News & Events
Foundation
Contact
Book an Appointment
Breast Health Information
Information Booklets
The aim of this article is to empower the readership about the common myths and evidence based facts relating to various aspects of breast health.
Myths & Facts
(English)
Myths & Facts
(Hindi)
Myths & Facts
(Telugu)
Benign Breast Disease
A group of conditions marked by changes in breast tissue that are benign (not cancer).
English
Hindi
Telugu
Cyclic Breast Pain
Non- Cyclic Breast Pain
Fibroadenoma
Breast cysts
Nipple related issues
Benign Phyllodes Tumor
Breast feeding
Gynecomastia
Breast Lump
Cyclic Breast Pain
Non- Cyclic Breast Pain
Fibroadenoma
Breast cysts
Nipple related issues
Benign Phyllodes Tumor
Breast feeding
Gynecomastia
Breast Lump
Cyclic Breast Pain
Non- Cyclic Breast Pain
Fibroadenoma
Breast cysts
Nipple related issues
Benign Phyllodes Tumor
Breast feeding
Gynaecomastia
Breast Lump
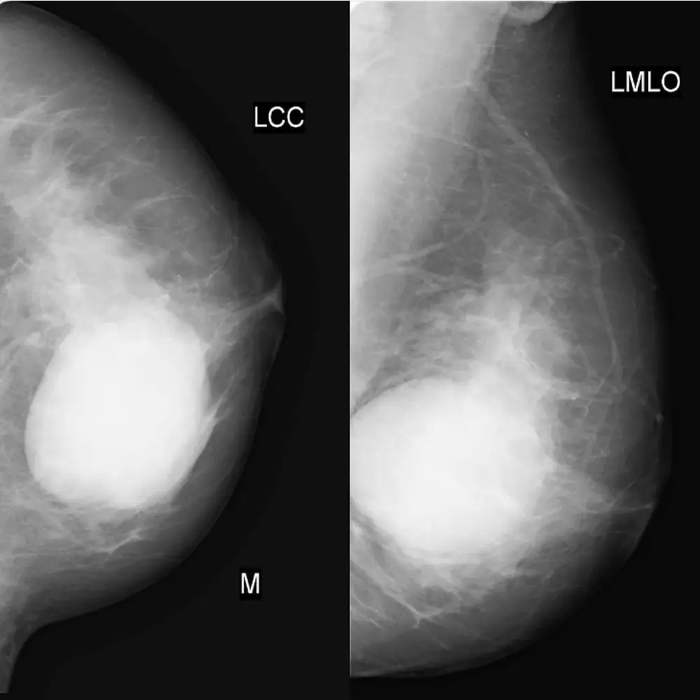
Breast Cancer
Cancer that forms in the breast tissue. Breast cancer occurs in women and rarely in men also.
English
Hindi
Telugu
The Basics
Screening
Surgery Overview
Breast Conserving Surgery
Breast Reconstruction
Exercise Post-Surgery
Chemotherapy
Radiotherapy
Targeted Therapy
Hormone Therapy
Pregnancy
Young Women
Genetic Risk
Bisphosphonates
DCIS
Diet
Physical Activity
Malignant Phyllodes Tumour
The Basics
Screening
Surgery Overview
Breast Conserving Surgery
Breast Reconstruction
Exercise Post-Surgery
Chemotherapy
Radiotherapy
Targeted Therapy
Hormone Therapy
Pregnancy
Young Women
Genetic Risk
Bisphosphonates
DCIS
Diet
Physical Activity
Malignant Phyllodes Tumour
The Basics
Screening
Surgery Overview
Breast Conserving Surgery
Breast Reconstruction
Exercise Post-Surgery
Chemotherapy
Radiotherapy
Targeted Therapy
Hormone Therapy
Pregnancy
Young Women
Genetic Risk
Bisphosphonates
DCIS
Diet
Physical Activity
Malignant Phyllodes Tumour
Scroll to Top
Name
Phone Number
Email ID
Location
Message
Send Message